蚌埠五洲医院 > 生殖感染 > 龟头炎 > >

龟头的异常情况都有哪些

发布时间:2016-12-17 10:58:41

       蚌埠五洲男科医院专家指出龟头异常直接显示着男性健康是否出现了问题,是判断男性生殖系统健康的一个重要标准,那么男性龟头的异常情况都有哪些?为什么会异常呢?

  1.龟头上长红点红疹

  阴 茎上长红点红疹一般由龟头炎所导致,并且不排除是性病的可能,有的患者会伴随龟头发痒,龟头灼热等症状,有的患者无任何感官症状,龟头红点是 龟头炎的初期症状,一般不经指导用yao很难消除。由于炎症刺激,影响龟头神经,常常会造成早泄,若长期不经医疗手段处理,可能会终身性早泄(预约咨询对症专家)

  2.龟头红肿,龟头潮红

  龟头红肿,大面积潮红一般是龟头炎或是包皮过长引起,龟头上的炎症或者是过长包皮产生的细菌对龟头造成了刺激,一般该症状除了会造成痛痒或排尿症状之外,对性功能的影响也十分大,是小症状引起大疾病的典型病例。(预约咨询对症专家)

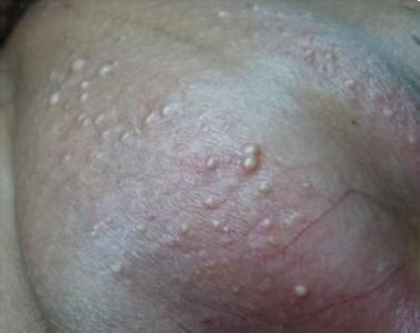
  3.龟头长小颗粒,龟头白点

  龟头长小颗粒是龟头炎和珍珠疹的典型症状,可能会伴随龟头滴白,龟头敏感,尿频尿急尿不尽等排尿症状。(预约咨询对症专家)

  4.龟头疼痛

  龟头疼痛若非外伤造成。一般是念珠菌感染,阿米巴原虫感染,滴虫感染,环状溃烂龟头炎导致。若患者有包皮包茎现象则也可能是包皮垢刺激导致。(预约咨询对症专家)

龟头红点

龟头红肿、小疙瘩

  5.龟头滴白流白,流脓

  患 者龟头常常流出白色液体,个别患者一般在晨尿的时候经常见到,龟头滴白是非常典型的前列腺炎症状,一般都会伴随尿频尿急尿不尽等排尿异常现 象,前列腺炎的厉害之处在于他广泛的并发症,常常并发类似龟头炎,尿道炎,睾丸炎等疾病,时间越长,导致治疗成本越高,建议患者早期检查。

  而龟头流脓则是性病中常见的淋病和非淋的典型症状了,患者如果发现自己的龟头流脓。或是排尿的时候尿中有脓液,就必须要立即参与治疗,不可有任何拖延。(预约咨询对症专家)

  6.龟头发白

  某些患者龟头发炎会致龟头发白,发灰等症状。不过导致龟头发白大的可能是就是包皮包茎所产生的包皮垢刺激导致,对性器官有大的损伤,影响正常性功能。(预约咨询对症专家)

  7.龟头溃疡溃烂

  包皮龟头出现溃疡溃烂一般是性病原因,当出现溃疡之后,若拖延就医,直接的结果就是龟头慢慢从局部溃烂发展到全部溃烂,下至大腿根部,上至肚脐都会出现症状,人体神经受到损伤。(预约咨询对症专家)

  
龟头溃烂、流脓


龟头发白

  8.龟头敏感

  龟头敏感是导致早泄的直接原因,一般是又细菌刺激或炎症刺激,患者多为包皮包茎患者或是龟头炎炎前列腺炎等炎症患者,对待龟头敏感,必须有效针对病因治疗,方可一次性治愈。(预约咨询对症专家)

  9.龟头臭,龟头异味

  龟头异味可能是由于包皮过长导致包皮龟头细菌滋生,产生恶臭,或是龟头尿道炎症刺激产生异味。龟头出现异味则证明龟头出现局部感染,可能会出现一些分泌物。(预约咨询对症专家)

  10.龟头长水泡

  龟头长小水泡是性病龟头疱疹的典型症状,传染性强,一般后期可造成龟头溃烂,化脓,龟头龟头出现小水泡,患者必须立刻停止任何性接触,立即接受正规医院的检查,以免病情恶化,贻害终身。(预约咨询对症专家)

  11.龟头包皮粘连

  粘连是包茎或某些包皮过长的典型症状,包茎常常导致龟头发育迟缓,龟头藏污纳垢,影响性功能,并且十分容易造成龟头炎炎,尿道炎等炎症,因此包皮龟头粘连的患者常常伴随龟头发育不理想,性功能时间不理想等症状。(预约咨询对症专家)

  12.龟头蜕皮

  一般是炎症刺激,或是霉菌感染所导致,一般来讲龟头蜕皮只是初期症状,如果之前有过不洁性生活或出入过高危场所,也可考虑是性病疱疹破损导致。(预约咨询对症专家)

  13.龟头长小疙瘩

  龟头小疙瘩一般有白有红,有的突出表面,有的则没有。一般多由于龟头炎,尿道口感染,珍珠疹,或个别性病造成。不同病因,须有不同的诊疗方法。(预约咨询对症专家)


龟头蜕皮

龟头水泡、小疙瘩

 

  14.龟头肉刺,肉芽,菜花状增生物

  阴 茎长肉刺,菜花状增生物,肉状疙瘩等等都是性病的主要症状,一般以尖锐湿疣为主,传染性强,破坏力大,可谓毁人一生的疾病。很多患者对性病是 望而生畏,但是泌尿专科医院专家表示,性病虽然可怕,但也是门诊的常见病,只要患者积配合,治疗难度并不大,但有一个先决条件,患者出现症状后,必 须立即检查,否则治疗难度和医疗成本都会随着时间的推移逐渐增高。(预约咨询对症专家)

  15.龟头发黑发紫

  龟头发黑发紫是龟头缺血性坏死的征兆,一般由包皮嵌顿导致,属于紧急情况,患者不可拖延,需要立即就医。(预约咨询对症专家)

  16.龟头黑点黑斑

  龟头黑点黑斑多由细菌和炎症刺激导致,可考虑疾病有一般是龟头炎炎,尿道口发炎或是包皮垢刺激,形成炎症,炎症导致龟头黑点黑斑形成,要及时到医院就医。(预约咨询对症专家)

  17.龟头不硬

  过频的手淫、性生活、前列腺炎、尿道炎等龟头官的炎症刺激都会影响到勃起的状态和硬度,后期可能会引发早泄和阳痿,甚至不能生育,需及时就医。(预约咨询对症专家)

  18.龟头瘙痒

  龟头瘙痒一般都是由于包皮过长,藏污纳垢,潮湿的环境适合细菌滋生,引发的包皮龟头炎等疾病,需立即就医,避免引起并发症。(预约咨询对症专家)

  19.龟头长菜花状小肉芽

  龟头上长菜花状小疙瘩或有肉芽多数都是尖锐湿疣,一般通过性传播,也有的是细菌感染造成,传染强度非常大,反复发作,所以在疾病初期一定要及时治疗,切勿拖延。(预约咨询对症专家)

  20.龟头有硬下疳

  硬下疳是梅毒后期症状:开始在传染部位出现赤色斑疹或丘疹,经1~2天变为小结而质硬,继而中央糜烂、破溃,呈红铜色,有少量粘性分泌物,呈圆形或椭圆形,无压痛及自觉疼痛,但是一定要到医院进行治疗,否则会逐渐扩散糜烂,更加严重。(预约咨询对症专家)

  21.感染症状

  男性生殖感染症状都有尿不尽、尿分叉、尿滴白是男性龟头感染症状的明显表现;尿道口流脓、红肿、分泌物增多的症状。男性生殖感染症状为卓著的是影响性欲和性功能,可导致性欲低下或性功能低下,一定要及时治疗。(预约咨询对症专家)

  22.感染治疗

  生殖感染疾病需要系统的治疗,一定要到正规的专业医院由医生进行检查确诊之后才能对症治疗,不可盲目用yao,更不能相信小诊所甚至游医,一定要引起重视,早发现、早治疗、早康复。(预约咨询对症专家)

  关于费用、治愈率:

  蚌埠五洲男科医院是专业的男科诊疗医院,拥有强大的医疗团队,对尿道口疾病有着独特的诊疗方案,疾病治愈率高,并严格按照卫生局定价标准,坚持医疗费用公开透明化,医疗收费公示在一楼大厅收费处,患者可了解清楚治疗费用后再就诊。医院巨资引进国内外先进检查设备,帮助患者进行零误差检查诊疗,检查过程简单轻松,不耽误患者时间,检查费用在几十元到上百元不等。


蚌埠五洲医院男科自助挂号平台
(本网站已加密,绝对保障个人隐私)
预约须知:
1、网络预约优先就诊,节省排队等候时间;
2、预约成功后客服人员将与您联系,确认就诊详细信息。
医院地址:蚌埠市淮河路282号(长途汽车总站东侧)
接诊时间:早8:00到晚20:00(全年365天不休 无假日医院)